科研进展
心理所关于运动员大脑功能的可塑性研究取得进展
发布时间:2009-09-01
作者:心理健康院重点实验室
近日,中科院心理所心理健康重点实验室魏高峡博士和罗劲研究员首次采用功能磁共振技术证实运动员大脑具有功能上的可塑性,这是在前期结构可塑性研究基础上的又一次成功扩展。
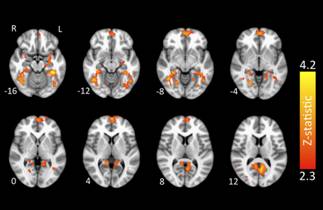
运动作为一种丰富的环境刺激对大脑发育和成熟以及延缓衰老有着重要的影响,对其神经机制的解答对于“脑老化”病症具有重要的现实意义。但迄今为止,现有的主要研究目标还多集中在小肌肉群的活动引起的大脑功能的变化上,人们还无法明确地回答基本的运动技能学习到底对大脑产生了何种程度的影响。基于此,该研究突破了传统的在扫描设备中进行真实动作的实验设计思路,利用表象动作与真实动作的“功能等价”理论,引入表象任务,将运动专家与新手进行同任务的对照研究,分析了运动技能获得所引起的大脑功能性变化,结果发现:(1)运动专家知识系统具有特殊的神经表征,该表征形式与技能特点密切相关;(2)只有专家在表象动作时会显著激活PFC,提示PFC可能参与了运动专家动觉表象的调控。本研究结果支持了假设,即认为经过多年训练的运动专家表现出与经验有关的优化网络模式。
该项研究得到了国家自然科学基金面上项目、中科院知识创新工程重要方向项目、科技部国家高技术研究发展计划重点项目和中国博士后基金会的资助。
研究结果被brain research接受,目前已在线发表。
Gaoxia Wei, Jing Luo. (2009). Sport expert’s motor imagery: functional imaging of professional motor skills and simple motor skills. Brain Research, doi:10.1093/schbul/sbn190.
运动作为一种丰富的环境刺激对大脑发育和成熟以及延缓衰老有着重要的影响,对其神经机制的解答对于“脑老化”病症具有重要的现实意义。但迄今为止,现有的主要研究目标还多集中在小肌肉群的活动引起的大脑功能的变化上,人们还无法明确地回答基本的运动技能学习到底对大脑产生了何种程度的影响。基于此,该研究突破了传统的在扫描设备中进行真实动作的实验设计思路,利用表象动作与真实动作的“功能等价”理论,引入表象任务,将运动专家与新手进行同任务的对照研究,分析了运动技能获得所引起的大脑功能性变化,结果发现:(1)运动专家知识系统具有特殊的神经表征,该表征形式与技能特点密切相关;(2)只有专家在表象动作时会显著激活PFC,提示PFC可能参与了运动专家动觉表象的调控。本研究结果支持了假设,即认为经过多年训练的运动专家表现出与经验有关的优化网络模式。
该项研究得到了国家自然科学基金面上项目、中科院知识创新工程重要方向项目、科技部国家高技术研究发展计划重点项目和中国博士后基金会的资助。
研究结果被brain research接受,目前已在线发表。
Gaoxia Wei, Jing Luo. (2009). Sport expert’s motor imagery: functional imaging of professional motor skills and simple motor skills. Brain Research, doi:10.1093/schbul/sbn190.

图1 专业动作表象的组间激活差异
附件下载: